: cuerpos de Döhle
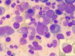
: bastones de Auer
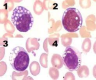
: vacuolización
: síndrome de Chédiak-Higashi
: anomalía de Alder-Reilly
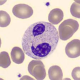
: anomalía de Pelger-Hüet
: leucemia linfática crónica
: leucemia mieloide crónica
: linfoma de Hodgkin
: linfoma de No Hodgkin (Burkitt)
Otros juegos similares:
Otros juegos similares:
Otros juegos similares:

