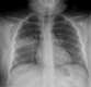
: Neumonía/ Bronquiolitis
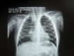
: Derrame/ neumonía
: Asma bronquial
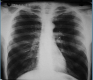
: Neumonia lobar
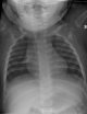
: Timo/ signo de la vela
Otros juegos similares:
Otros juegos similares:
Otros juegos similares:

