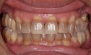
¿QUE TINCIÓN ES?
En este juego deberá mostrar lo aprendido durante la exposición , explique qué ve en la imagen.
: tinción extrínseca por alimentos
: tinción intrinseca de amalgama local
: tinción intrinseca por traumatismo loca
: tinción intrínseca tetraciclina sistemi
: tinción intrinseca fluorosis sistemica
Otros juegos similares:
Otros juegos similares:
Otros juegos similares:

