: encía libre, encía adherida
: zona puntiforme de la encía adherida
: hendidura gingival
: límite mucogingival
: mucosa alveolar o de los flancos
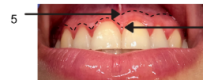
: frenillo labial
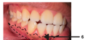
: frenillos vestibulares
: conducto parotídeo
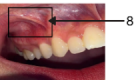
: cojinete bucal
: proyección de rafe pterigomandibular
: arcos palatogloso
: logia amigdalina
: arco palatofaríngeo
: amígdala palatina
: úvula
: velo del paladar
: rugas palatinas,línea de demarcación
: depresión del paquete vasculonervioso
: papila incisiva palatina
: mucosa de glándulas salivales palatinas
: rafe palatino
: drenaje glándulas salivales menores
: foveolas palatinas
: papilas filiformes
: papilas fungiformes
: papila caliciforme
: papila foleadas
: frenillo lingual,carúncula sublinguales
: mucosa de glándulas sublinguales
: fimbria
Otros juegos similares:
Otros juegos similares:
Otros juegos similares:

